首页/ Imagery Medical

Imagery Medical 1.3 MOD APK for Android

Imagery Medical
版本 1.3
更新时间 April 2, 2026
类别 体育养生
大小 453.8KB
7.6
1
2
3
4
5

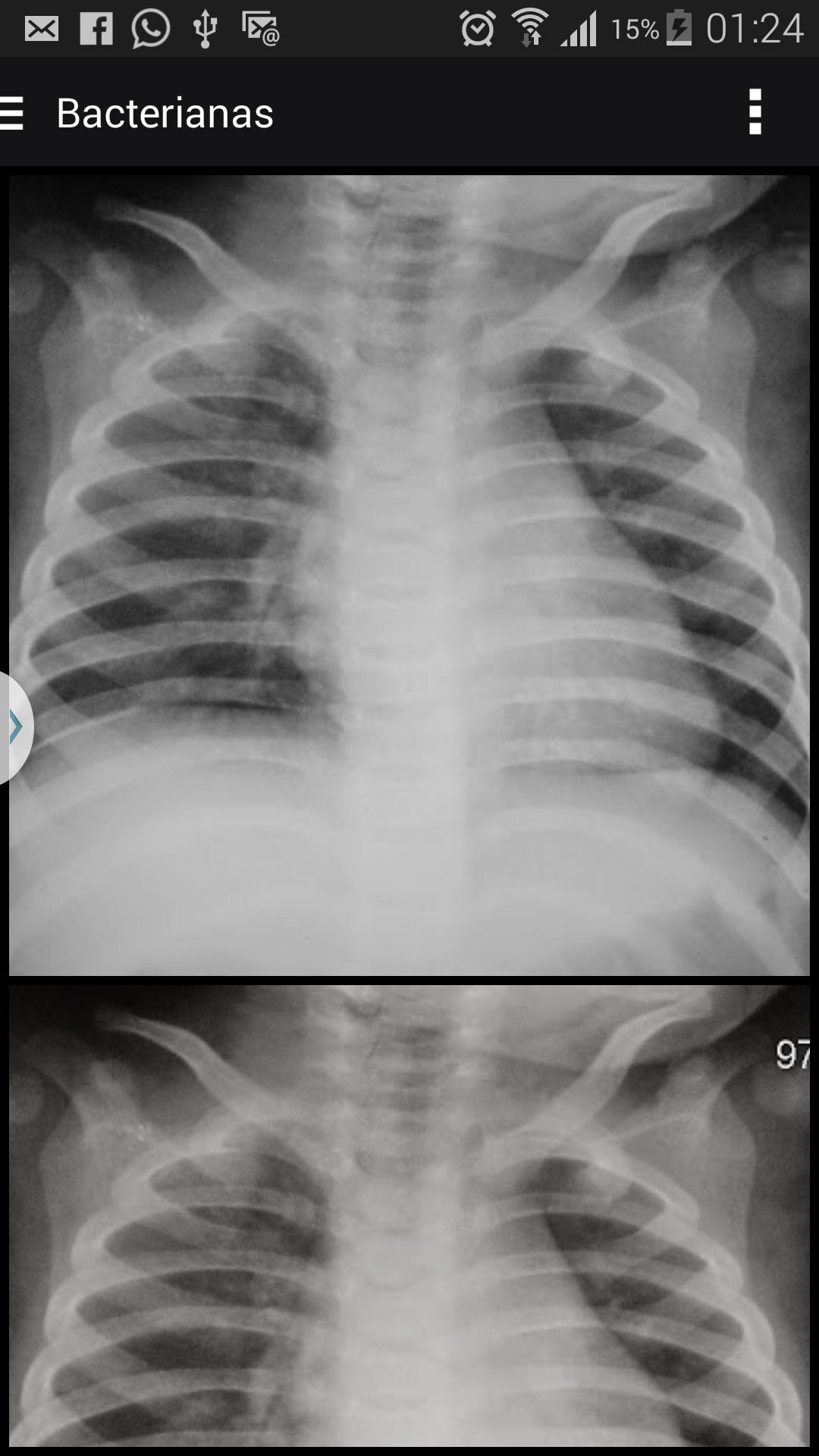
X射线图像支持儿童肺炎的诊断

在最近的卫生部文件中,肺炎与巴西的儿童死亡率有关。肺炎是儿童死亡率的最重要原因,占据了包括巴西在内的发展中国家死亡的第二个原因。

世界卫生组织(WHO)将胸部X射线视为目前可用于诊断日常临床实践的最佳方法。但是,对异际变异的研究在医学的所有领域都很常见,但是在图像研究中占主导地位,鉴于在这一领域,观察者的表现代表了过去十年中获得的脆弱部分,与技术进步形成鲜明对比。

经验丰富的观察者委员会与“共识”不同的解释可以称为“错误”。当观察者出现错误时,观察者之间的变化发生在发生,但还包括有关正确解释所代表的一般意见差异的情况。在X光片的解释中,已经研究了错误和变化。

为了确定任何研究结果的有效性,诊断测试的准确性应尽可能接近现实,然后称为“标准值”

黄金”的诊断测试评估的基本因素。在胸部的射线照相诊断的情况下,尤其是在儿童时期,图像解释的准确性是通过间和观察中的一致性来主观评估的,因为很少有一种模式可以用作肺炎诊断的参考(标准)。

因此,目前的儿童肺炎全景具有以下特征:

(i)肺炎是儿童发病率和死亡率的重要原因;

(ii)从微生物学的角度来看,缺乏敏感的诊断测试;

(iii)高效的儿童疫苗(HIB疫苗和抗邻苯前菌)是可用的;

(iv)缺乏易于执行和技术实施的准确诊断测试,在可能受到标准化的发展领域可用,以便在研究之间进行比较。在不同的

肺炎监测研究中的世界地区证明其低成本是合理的。大多数研究地点的可用性;与其他研究比较的生存能力;易于数字化图像和存储;该方法的读数标准化和低医源性的可能性。

人工智能在健康中使用人工智能(AMI)的专家系统的应用特别关注

(i)警报和提醒;

(ii)帮助诊断;

(iii)治疗批评;

(iv)信息恢复代理;和

(v)图像的识别和解释。在实施AMI系统的当前挑战中,有准确表征医学实践方面的系统的开发。

在过去的三十年中,计算视觉(VC)是一种新的AI工具。 VC基于处理图像的VC考虑了个人的个人知识,并以数学模型的形式对这些知识进行建模,并旨在根据先前解决的问题解决新问题。重要的特征是将其作为其产品的技术进化,即来自其在VC凸起中应用的信息的标准化。

最新版本1.3中的新功能

上次更新于2016年4月15日 - 您可以在较旧的Android版本上安装该应用程序(API 11)
- 通过登录和密码验证用户身份验证
- 新图像