Startseite/ INFINITT Mobile Viewer

INFINITT Mobile Viewer 1.2.2.0 MOD APK for Android

INFINITT Mobile Viewer
Version 1.2.2.0
Aktualisierungsdatum January 9, 2026
Kategorie Sport- und Gesundheitsversorgung
Größe 50MB
8.9
1
2
3
4
5

Medizin, Gesundheitswesen, Mobile, Infinitt Healthcare, Dicom

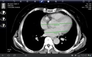
INFINITT Mobile Viewer ist eine medizinische Bildanwendung, die den Zugriff auf einen zentralen Dicom -Server ermöglicht, der auf mobilen Geräten ausgeführt wird.

Es unterstützt Funktionen wie Fenster, Zoomen, Schwenk, Hounsfield-Einheit, Messung, Cine-Spiel, E-Mail-Senden und Berichterstattung.

WICHTIG:

Diese App erfordert Infinitt PACS und Infinitt Mobile PACS Server.

Diese App ist nur zur Überprüfung vorgesehen und ist nicht für die diagnostische Verwendung zugelassen.

Was ist neu in der neuesten Version 1.2.2.0

Zuletzt aktualisiert am 1. November 2019 *1.2.2.0 BN21
- Android 9.0 kompatibel
- Fehlerbehebung